3022 E 57th Ave #10 Spokane, WA 99223

September 16, 2024 in Sleep Apnea, by Dental Care of Spokane.
Could You Have Sleep Apnea? A Guide from Spokane Dentist on Symptoms and Risk Factors
Sleep apnea is a common yet often overlooked condition affecting millions worldwide. Understanding its symptoms and risk factors is crucial for early detection and effective treatment. This blog explores what sleep apnea is, its top symptoms, and who is most at risk. By being informed, you can take proactive steps toward better sleep health. What Is Sleep Apnea? Sleep apnea is a disorder that causes repeated interruptions in breathing during

September 11, 2024 in Dental Insurance, by Dental Care of Spokane.
How To Utilize The ‘Use It or Lose It’ Policy Of Dental Insurance For a Healthier Smile?
It’s easy to overlook dental benefits when the end of the year approaches, but that’s when the “use it or lose it” rule becomes crucial for your smile—and your wallet. If you’ve been postponing dental treatments, now is the perfect time to take action before your benefits vanish with the calendar flip. This annual deadline should be your wake-up call to prioritize your dental health. What Exactly Is ‘Use It

September 9, 2024 in Dental Crowns, by Dental Care of Spokane.
What To Do When Your Dental Crowns Break: A Guide from A Spokane Dentist
Dental crowns are a popular solution to restore damaged teeth, offering strength and a natural look. However, like any dental restoration, crowns can break or crack due to various factors. If your dental crown breaks, acting swiftly and taking the right steps to prevent further damage or discomfort is essential. This guide will explore what to do when your dental crown breaks, the possible causes, how to manage the situation

September 2, 2024 in Dental Implants, by Dental Care of Spokane.
How to Keep Your Dental Implants Healthy and Durable
Dental implants are durable and natural-looking alternatives to teeth. People with missing teeth benefit from them and can achieve the look they wish for. However, proper care is essential to ensure their longevity and maintain your overall oral health. In this blog, we’ll explore effective strategies for caring for your dental implants, helping you enjoy a confident smile for years to come. What are Dental Implants? Dental implants are made

August 26, 2024 in Veneers, by Dental Care of Spokane.
How to Take Care of Your Dental Veneers
Dental veneers are an excellent option for achieving a flawless smile. Whether you’ve chosen them to improve the appearance of stained, chipped, or misshapen teeth, maintaining them is essential for longevity. While veneers are durable and stain-resistant, they still require proper care to ensure they remain in pristine condition over time. In this guide, we will explore the best practices for taking care of your dental veneers, ensuring that they

August 19, 2024 in Dental Implants, by Dental Care of Spokane.
How to Care for Your Dental Implants for Longevity
Dental implants are a revolutionary solution for missing teeth, offering a permanent, natural-looking replacement that can last for decades with proper care. While dental implants are highly durable, their longevity depends on how well you maintain them. Caring for your dental implants is crucial not only for their lifespan but also for your overall oral health. In this comprehensive guide, we’ll discuss the essential steps for caring for your dental

August 11, 2024 in Teeth Whitening, by Dental Care of Spokane.
Top 5 Mistakes to Avoid After Teeth Whitening
Teeth whitening is a popular cosmetic dental treatment that enhances your smile by making your teeth several shades lighter. While the results can be stunning, maintaining the brightness of your smile requires proper post-treatment care. Unfortunately, many people unknowingly make mistakes after teeth whitening that can reverse or diminish the effects of the procedure. In this blog post, we’ll explore the top five mistakes to avoid after teeth whitening, helping

August 6, 2024 in Oral Care, by Dental Care of Spokane.
Why Fluoride Should Be Part of Your Dental Care Routine
When it comes to maintaining a healthy smile, fluoride often takes center stage in dental care discussions. This powerful mineral isn’t just a buzzword—it’s a proven shield against cavities and decay. Whether it’s in your toothpaste, mouthwash, or even the water you drink, fluoride plays a vital role in keeping your teeth strong and resilient. But why exactly is fluoride so important, and how can you make the most of

June 17, 2024 in Sleep Apnea, by Dental Care of Spokane.
How To Treat Sleep Apnea Naturally At Home
According to the National Sleep Foundation, approximately 18 million adults in the United States suffer from obstructive sleep apnea (OSA), with an additional 10-20% of children who snore also affected by this condition. OSA occurs when there is a repeated interruption of breathing during sleep due to partial or complete blockage of the upper airway. While continuous positive airway pressure (CPAP) therapy remains the most effective treatment for sleep apnea,

June 6, 2024 in Oral Care, by Dental Care of Spokane.
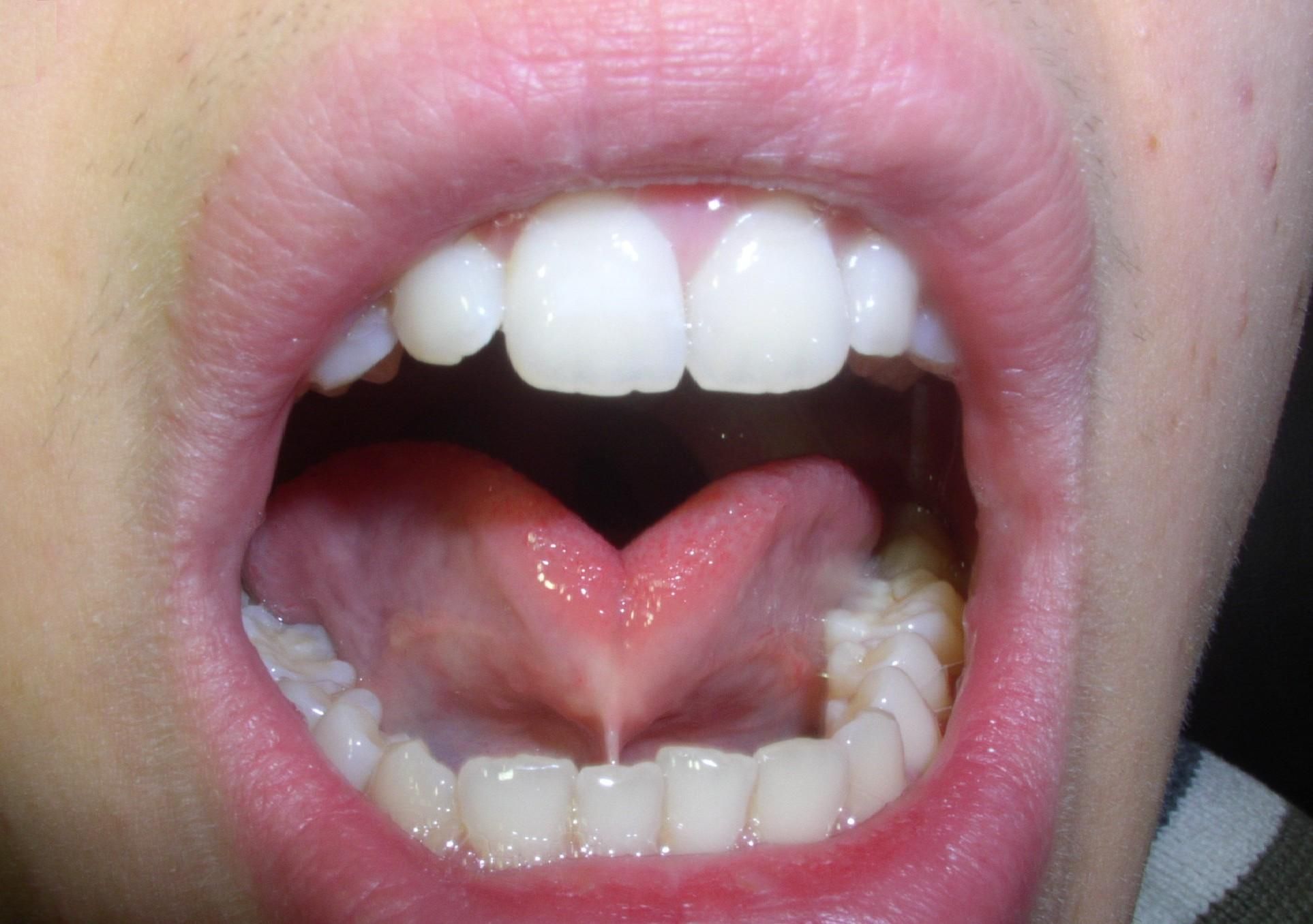
How Does A Tongue Tie Affect Your Pronunciation?
A tongue tie, also known as ankyloglossia, is a condition that affects the movement of the tongue due to a shortened or tight band of tissue connecting the underside of the tongue to the floor of the mouth. This seemingly minor anatomical difference can have significant impacts on various aspects of oral function, including speech production. In this article, we will explore how tongue tie affects pronunciation and speech development,
Welcome to Our Practice
Ready to join the family at Dental Care of Spokane? Our team is driven by a passion for helping those in our community maintain, enhance, and restore their ideal smiles. We can't wait to meet you!
Schedule Your
Visit Now!
Map
